Book Online

Invisalign® in Liverpool
Clear Braces Treatment Prices and Offers

Invisalign® is a type of clear aligner that has gained popularity during the pandemic.

Basically, unlike other braces and aligners, Invisalign® is easy to remove and clean and doesn’t require you to visit the dentist for any broken wires, unlike regular braces, which is why they’ve become popular during the pandemic lockdown.

Commonly, Invisalign® is popular with young adults and teens who want to fix their smile without feeling awkward with how they look since they are NEARLY INVISIBLE.

invisalign thumb

Invisalign®

  • Clear, virtually invisible
  • Smooth and comfortable
  • Removable & easy to clean
  • Eat anything you want
invisalign thumb

Traditional Braces

  • Wires and brackets
  • Can decorate with colours
  • Colours can be changed at every visit
  • Non removable
VS

Benefits of Invisalign®

Invisalign® can help you get the great smile you’ve always wanted because it’s…

Invisible: Invisalign® aligners are made of clear, thin, but durable plastic that is virtually invisible.
Invisalign® invisible dental braces give you the confidence to smile during your treatment as well as after!

Removable: Invisalign® aligners can be removed at any time. Removable braces give you the advantage of being able to eat, drink, brush and floss with ease during your treatment.

Comfortable: Invisalign® aligners do not contain any metal wires or brackets, which can often cause irritations and abrasions, so often seen with conventional braces.

Customised: Impressions are taken of your teeth, so Invisalign® aligners are custom-made for you and only you.

Effective: Invisalign® aligners begin working right away and can move multiple teeth simultaneously so treatment is usually faster compared to conventional braces.

Brighter smile: What’s more is that Invisalign® can be used in combination with tooth whitening products so not only will your smile be straighter, it can be brighter too!

Invisalign® Teens

As a teen, there’s no better time to take steps to correct teeth alignment issues.

Invisalign® has a great range of choices for teenagers. In contrast to the old-style braces, Invisalign® offers a more flexible and confidence-boosting way to a better smile.

Forget those irritating and often painful experiences of wearing braces that snag, poke and lead to embarrassing situations during first kisses.

The ingenious Invisalign® moulds are completely removable, so wearers can still eat, drink, brush and floss as normal, allowing for better dental health in the long run. If you’re considering Invisalign® Teen, contact Puredental, and we’ll be happy to answer any questions you have regarding the treatment and getting started.

These teen stories are from Invisalign®. Puredental is a Platinum provider of Invisalign®.

We Offer Invisalign®

Puredental is a Platinum provider of Invisalign® in Liverpool and Southport. Don’t settle for second best: your teeth are important for health, well-being, confidence and identity. If you’re considering undergoing Invisalign®’s treatment you already know that this is the fastest way to a great smile, healthier oral hygiene and greater confidence amongst many other things.

As a Platinum provider of Invisalign®, we’ve worked with and seen outstanding changes in our patients, and we believe choosing the right dentist is an important decision when it comes to receiving the best treatment.

Book a Free Consultation

Our Invisalign® Customers Here are just some of our happy Invisalign® customers.

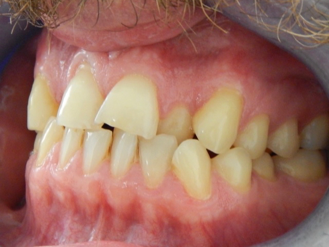
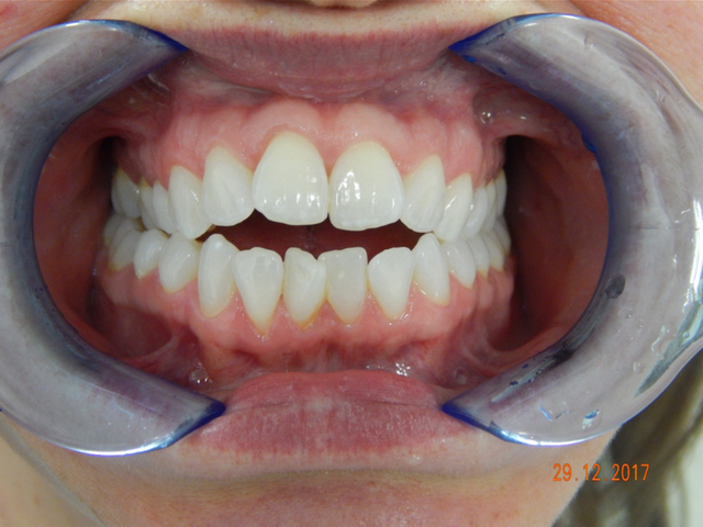
Smile Gallery

Before

After

Images by Puredental

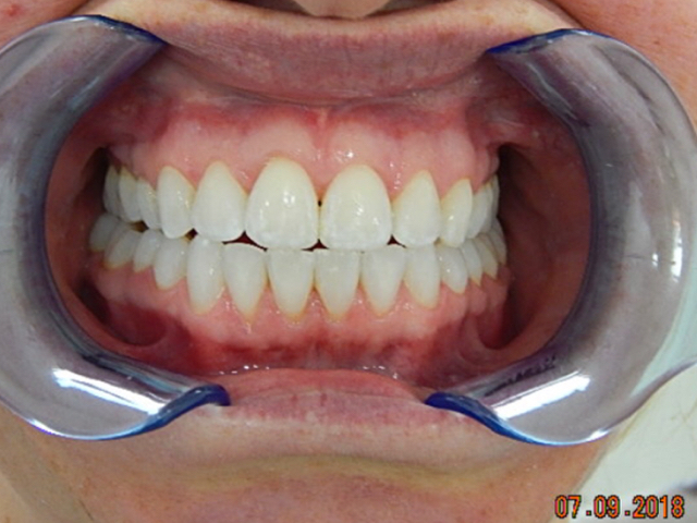
Smile Gallery

Before

After

Images by Puredental

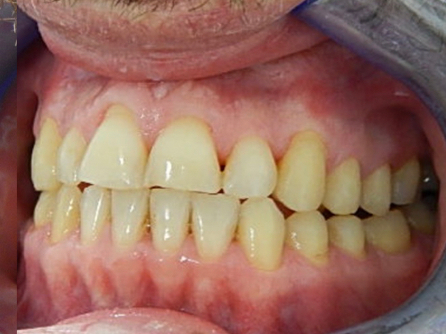
Smile Gallery

Before

After

Images by Puredental

Smile Gallery

Before

After

Images by Puredental

Our Invisalign® Customers Here are just some of our happy Invisalign® customers.

Smile Gallery

Before

After

Images by Puredental

Smile Gallery

Before

After

Images by Puredental

Smile Gallery

Before

After

Images by Puredental

Smile Gallery

Before

After

Images by Puredental

Comparison with Invisalign® vs other treatments

Other clear aligners

Traditional braces

Made from SmartTrack material

check

In-person consultations with real dentists

check

Easily removable for eating, drinking & flossing*

check
check

Made from SmartTrack material

check

In-person consultations with real dentists

check

Easily removable for eating, drinking & flossing*

check

No emergency visits for broken wires

check

Virtually invisible

check

Each aligner is trimmed to your gum line for optimal comfort and appearance**

check

Blue compliance indicator dots to help you stay on track

check

Covered by many orthodontic insurance plans

check

Easily removable for eating, drinking & flossing*

check

No emergency visits for broken wires

check

Virtually invisible

check

Covered by many orthodontic insurance plans

check

Virtually invisible

check

Made from traditional brackets and wires

check

Covered by many orthodontic insurance plans

check
Book a Free Consultation

Six reasons why you should choose us for your Invisalign® treatment

reasons icon

World-class customer service

reasons icon

Free initial consultation

reasons icon

Teeth whitening worth £295, included for free

reasons icon

Removable retainers, included for free

reasons icon

Beautiful teeth in as little as three months, using safe cosmetic braces

reasons icon

Why wait? Interest free finance available

Book a Free Consultation

What can Invisalign® fix?

invisalign before after

Crowded teeth

Crowded teeth are a condition where you do not have enough room for your teeth to fit normally. This can cause plaque or tartar and other harmful bacteria to build up as it is harder for you to brush and floss well.

invisalign before after

Gaps between teeth

Gaps between teeth are when there is extra space between two or more of your teeth. This can cause pockets between your teeth and gums, causing food to get stuck and making them tender and sore. This might also lead to gum disease.

invisalign before after

Open bite

An open bite is when your upper and lower teeth don't touch when you close your mouth. An open bite can make it hard for you to chew or difficult to bite even the most common of foods like apples.

invisalign before after

Underbite

An underbite is when you close your mouth, and your lower front teeth are in front of your upper teeth. In many cases, this is actually a problem with your lower jaw being too far forward. An underbite can make it hard to chew properly and speak clearly, and it might cause your teeth to wear down more quickly.

invisalign before after

Overbite

An overbite is when your upper front teeth overlap with your lower front teeth. Most people have at least a little overbite. When your overbite is too large, your dentist might tell you that you have a deep bite. This can cause problems, from your teeth wearing down to pain in your jaw.

invisalign before after

Crossbite

A crossbite is when you close your mouth, and yet some of your upper teeth sit inside your lower teeth rather than on the outside. A crossbite can make your teeth wear down or chip. It can also make your gums start to recede or make little notches above your gum line. This kind of damage can lead to painful gum problems or even bone loss.

Book a Free Consultation

Cost of Invisalign® Clear Braces

Affordable Invisalign® treatment

Many people worry about the cost of Invisalign® braces, and so we have devised a number of payment plans to help you afford the right treatment with Invisalign®.

Learn More

Invisalign®

from £ 3000
  • Free initial consultation
  • Free 3D scan worth £350
  • Free removable retainers worth £500
  • Free teeth whitening worth £500*
Book Now

Free virtual 3D scan

We can create a 3D image of your teeth in just minutes using an iTero scanner, a leading digital scanner from the makers of Invisalign® clear aligners.

Scan Image
Itro Image

Orthodontist Reviews

These stories are from Invisalign®. Puredental is a Platinum provider of Invisalign®.

FAQS

1. What is the treatment process?

What is the treatment process?

Invisalign® treatment starts with a consultation with a dentist. Your dentist will evaluate your smile and then map out a precise, customised digital treatment plan that showcases the step-by-step transformation of your smile. Once you approve your plan, your unique aligners will be created. You will wear each set of aligners for 20 to 22 hours a day, changing to a new set of aligners every 1 to 2 weeks, as directed by your dentist. Each set of aligners will gently and gradually shift your teeth into place, according to your treatment plan, until you reach your beautiful new smile.

How long does Invisalign® treatment take?

Depending on the complexity of your case, you could complete your treatment in as little as 6 months. But you’ll start seeing results in a matter of weeks.

What are Invisalign® clear aligners made of, and what do they look like?

Invisalign® clear aligners are made of flexible plastic — specifically, a patented thermoplastic material called SmartTrack, created exclusively for Invisalign® treatment.

2. What is Invisalign® treatment?

What is Invisalign® treatment?

Invisalign® treatment is the process of wearing a series of clear, removable aligners that gradually straighten your teeth. There are no brackets and wires and no restrictions that come with metal braces.

What are Invisalign® clear aligners made of, and what do they look like?

Invisalign® clear aligners are made of flexible plastic — specifically, a patented thermoplastic material called SmartTrack, created exclusively for Invisalign® treatment.

How will Invisalign® treatment straighten my teeth?

Your Invisalign® dentist will create a unique, digital treatment plan that maps out the exact movements of your teeth. Your Invisalign® clear aligners are then designed to apply the right amount of force to the right place at the right time based on your plan. Your dentist will be with you every step of the way to monitor your progress and ensure your aligners fit correctly.

What are the primary benefits of Invisalign® treatment?

Invisalign® clear aligners are virtually invisible — people may not even notice you’re wearing them. You can remove them to eat and drink, brush and floss, or for special occasions. There are no metal brackets or wires that could irritate your mouth or break.

Unlike other brands, Invisalign® clear aligners are made from patented SmartTrack material, which is more comfortable and provides a better fit. Invisalign® aligners are also trimmed based on your gum line for comfort and appearance. As the world’s most advanced clear aligner system, we have successfully improved over 8 million smiles, including 1.4 million teen smiles.

Am I guaranteed to have straight teeth with Invisalign® treatment?

Every smile is unique, so your Invisalign® treatment starts with a consultation. During your consultation, your dentist will help you determine what Invisalign® treatment could do for your smile. We cannot guarantee a particular treatment outcome but encourage you to share your treatment goals with your dentist at your consultation.

3. Who is Invisalign® treatment for?

Could Invisalign® treatment be right for me?

Invisalign® treatment can be a great solution for both adults and teens looking for a virtually invisible method to improve their smile. Our innovations and technological advancements make it possible to fix nearly all common teeth-straightening and bite issues, from simple to complex — all without interrupting your busy life. And, thanks to a discreet blue dot on the outside of teen aligners, parents can be sure their child is wearing their clear aligners enough.

How do I get started with Invisalign® treatment?

Our team can help you make an appointment with an Invisalign® dentist.

What can your team do for me?

Our team is a friendly squad and is here to help make getting started with Invisalign® treatment even easier. They can help you schedule a consultation with our Invisalign® dentist.

Can I go to any dentist or orthodontist for Invisalign® treatment?

Many orthodontists and dentists are Invisalign®-trained, but not all are. Orthodontists and dentists who want to offer Invisalign® treatment must complete specialised training.

What should I bring to my consultation with my dentist?

Bring your questions (we’ve got a list to get you started here). You should also bring any information you might have about your dental history.

What should I expect during my consultation?

During your consultation, your dentist will discuss your teeth-straightening goals with you and examine your smile to determine your specific needs. Your dentist may also discuss how quickly you could achieve your new smile and your individual treatment cost.

Your dentist will most likely recommend scheduling a dental check-up and cleaning before you begin Invisalign® treatment to ensure your teeth and gums are in top health and avoid unnecessary risks.

How long will treatment take?

The length of treatment depends on multiple factors, like how complex your case is and how often you wear your aligners. Your dentist will determine precisely how long your treatment could take based on your specific needs. On average, Invisalign® treatment time is 12 to 18 months, though you can start seeing results in a matter of weeks.

How often will I change my Invisalign® aligners?

Your dentist will tell you how often you should change to new Invisalign® aligners (this can vary based on your individual treatment plan). Many dentists recommend changing Invisalign® clear aligners weekly or every other week.

How often will I have appointments with my dentist?

Your dentist will schedule regular appointments, usually about once every four to six weeks. The goal of these visits is to ensure your Invisalign® treatment is progressing as planned.

My dentist mentioned “attachments”. What are they, and why would I need them for my Invisalign® treatment?

Your Invisalign® treatment may require SmartForce attachments, small tooth-coloured shapes that are attached to your teeth.

These shapes serve as handles, giving the aligners something to gently push on to move your teeth with the right amount of force. They make complex tooth movements possible without braces. Invisalign® clear aligners fit smoothly and tightly around them, so they’re barely noticeable.

While not everyone who uses Invisalign® clear aligners will need SmartForce attachments, if you need them, your dentist will attach them to your teeth at the start of or during your treatment and remove them when they are no longer required.

4. How much does Invisalign® treatment cost and what are the payment options?

How much does Invisalign® cost?

Like other types of orthodontic treatment, the price of the Invisalign® treatment depends on the complexity of your dental correction and your course of treatment.

Is Invisalign® treatment more expensive than braces?

Invisalign® treatment typically costs about the same as braces.

5. Why should I feel confident about Invisalign® treatment?

How many people have used Invisalign® clear aligners?

Over 8 million people, including over 1.4 million teens, have used Invisalign® clear aligners to transform their smiles.

How is Invisalign® treatment different from other teeth-straightening options?

Invisalign® treatment is the world’s most advanced clear aligner system, backed by more than two decades of innovation.

Unlike braces, Invisalign® clear aligners are removable and virtually invisible. There are no wires and brackets, so you don’t need to change how you brush and floss. And you can continue to eat all your favourite foods.

And no other clear aligner is made from SmartTrack material. This advanced technology helps move your teeth more predictably and can help you get the smile you want up to 50% faster. Learn more about the Invisalign® difference or view our treatment comparison chart.

How old is the company behind Invisalign® clear aligners?

Align Technology, Inc., which makes Invisalign® clear aligners, was founded in 1997.

6. What if I've had braces or other types of dental work?

I am currently wearing braces. Can I switch to Invisalign® treatment?

Possibly. Invisalign® dentists treat a significant number of patients with a combination of braces and Invisalign® clear aligners. Consult your Invisalign® dentist to determine the best treatment approach for your smile.

Since having my braces removed, my teeth have shifted. Can Invisalign® treatment fix this?

Yes, Invisalign® clear aligners can treat nearly all common teeth-straightening issues, from simple to complex. Many people who formerly had braces choose Invisalign® treatment as the discreet solution to improve their smile when they find that their teeth have shifted back.

I have veneers or crowns. Will Invisalign® clear aligners work with them?

It depends. Talk with your Invisalign® dentist about the dental work you’ve had done, including veneers and crowns, and he or she will evaluate your individual needs.

I have bridgework on several teeth. Will Invisalign® clear aligners still work?

Invisalign® clear aligners are designed to move each tooth individually. Because bridgework connects two or more teeth, clear aligners may not be effective.

7. How will Invisalign® treatment affect my life?

Can anyone tell that I’m wearing the aligners?

Invisalign® aligners are virtually invisible. Others may not even notice you’re wearing them, making Invisalign® treatment a seamless fit with your lifestyle.

Can I take my aligners off whenever I need to?

Yes, you can remove your Invisalign® aligners for eating, drinking, brushing, and flossing. You can take them off for special occasions, like a wedding, a job interview, or for playing your favourite sport or instrument. Just remember to wear them 20 to 22 hours a day to get the best results.

Are there any restrictions on what I can eat while in treatment?

None! Invisalign® clear aligners are removable, so there are no food restrictions at all (hello popcorn!). With traditional wires and brackets, there’s a long list of foods you unfortunately can’t enjoy, as they can damage or get stuck in your braces.

Is Invisalign® treatment painful?

Invisalign® treatment moves your teeth by applying gentle, constant force, but some people do feel temporary discomfort for the first few days of wearing a new set of aligners. Typically, people describe it as feeling “pressure,” and it’s normal — it’s a sign that your Invisalign® clear aligners are working and transforming your smile.

Please see your Invisalign® dentist if you have any concerns or experience continued discomfort.

Sometimes, when I remove my aligners, my teeth feel loose. Is that common?

Yes. As your Invisalign® aligners gradually shift your teeth into their proper position, your gums are re-forming around each tooth as it moves. Be sure to talk to your Invisalign® dentist about any concerns.

Will Invisalign® treatment still work if I only wear my aligners while I sleep?

You need to wear your Invisalign® aligners 20 to 22 hours a day to get the results you want.

Will wearing Invisalign® clear aligners affect my speech?

It may take a couple of days for your tongue to get used to having your Invisalign® aligners in your mouth, and you may have a slight lisp. But this should disappear quickly.

Will smoking stain my aligners?

We discourage smoking while wearing Invisalign® aligners because it can stain them.

Can I chew gum while wearing aligners?

No, gum will stick to your Invisalign® aligners. We recommend removing your aligners for all meals and snacks, including gum.

Can the aligners slip off while I’m asleep?

It is very unlikely that your aligners will ever fall out, no matter what you are doing: sleeping, talking, laughing, etc. Invisalign® clear aligners are designed to fit snugly around your teeth, so this should not be a cause for concern.

I went on a trip and forgot to take my aligners with me. Will my aligners still fit?

The answer depends on how long you’ve gone without wearing your Invisalign® aligners. If it’s only been a short time, your aligners should still fit, but they might feel uncomfortable. If it’s been a longer time, talk to your Invisalign® dentist about your unique situation.

8. How do I take care of my aligners?

What’s the best way to clean my aligners?

The best way to clean your aligners is by brushing and rinsing them in lukewarm water and using Invisalign® Cleaning Crystals or special cleaning tablets. To maintain good oral hygiene, it’s important to brush your teeth after each meal before re-inserting your aligners.

If I have food residue (like blueberries or pasta sauce) in my mouth when I put my aligners back in, can they become stained?

Yes. That’s why it’s important to brush after every meal before placing your Invisalign® aligners back in your mouth.

What if I lose or break an aligner? What should I do?

If you lose or break an Invisalign® aligner, immediately let your dentist know. Your dentist will work with you to ensure you stay on track with your treatment plan, which may involve wearing a previous set of aligners, your next set of aligners, or ordering replacement aligners.

Can I order replacement aligners from the Invisalign® brand directly?

All aligners and retainers must be ordered through your dentist, as they are considered prescription items. Please contact your dentist directly if you need to order a replacement.

9. What happens when I'm done with Invisalign® treatment?

Will I need to wear a retainer after treatment to prevent my teeth from moving again?

Most dentists recommend that anyone who has completed orthodontic treatment, whether with braces or Invisalign® treatment, use a retainer to prevent teeth from gradually shifting back toward their initial position. Every case is different, so ask your dentist if you need retainers.

What type of retainer should I use?

While there are many different types of retainers, we recommend Vivera retainers. Vivera retainers were specifically designed for use after Invisalign® treatment and are made from a proprietary material 30% stronger than other leading clear retainer materials, which helps you to keep your new smile.

Your Vivera retainers will be virtually invisible and custom-made from an impression or scan of your teeth, using the same state-of-the-art technology used for Invisalign clear aligners.

How much do Vivera retainers cost?

Contact your dentist for more information on Vivera retainers. Pricing can be based on your individual needs. All Vivera retainer orders include an extra set in case you lose one.

How do I order Vivera retainers?

You can order Vivera retainers through your dentist.

How long will I have to wear my Vivera retainers?

Your dentist will specify how often you need to wear your retainers. Typically, you wear your first set full time, then based on their recommendation, you may gradually reduce how much you wear them until you only wear them at night.

Lost your Vivera retainer? No problem.

If you lose or break your last set of Vivera retainers or simply run out, contact your dentist. They can help you purchase a new set so you can keep showing off that smile!

book a free Consultation
Treatment - Pure Dental

General Dentistry

Treatment - Pure Dental

Cosmetic Dentistry

Treatment - Pure Dental

Teeth Straightening

Treatment - Pure Dental

Dental Implants

Treatment - Pure Dental

Facial Aesthetics

Treatment - Pure Dental

General Dentistry

Treatment - Pure Dental

Cosmetic Dentistry

Treatment - Pure Dental

Teeth Straightening

Treatment - Pure Dental

Dental Implants

Treatment - Pure Dental

Facial Aesthetics

Explore our treatments

What our patients say

star

“I’d become a little nervous visiting dentists in the last few years. Dr Khan, however, has totally restored that confidence since coming to Puredental. Highly...”

Gordon S - Allerton Road

“Dr Dee is very understanding of nervous patients. When I first visited him, I was very anxious; Dr Dee took the time to explain every...”

Clare B - Allerton Road

“I couldn’t be happier with my experience at Puredental. Dr Rohan was friendly and professional and did a fantastic job from start to finish with...”

Rachael - Allerton Road

“I am really happy with the results of my Invisalign braces. The whole process has been straightforward and very swift. I can highly recommend Puredental....”

Jenny F - Allerton Road

“I cannot recommend Dr Khan and the team at Puredental enough. I was terrified of dentists and had avoided them for years, and as a...”

Hayley - Allerton Road

“I would like to say a big thank you to Dr Khan and all the amazing staff as I was very nervous about visiting a...”

Jayne P - Allerton Road

“Dr Rohan is fab; I am so pleased with my new smile. I would definitely recommend his services and all the girls are lovely, too.”

Victoria B - Allerton Road

“Today, I have completed my transformation. Dr Khan has made such a difference using Invisalign clear braces alongside composite bonding. He is exceptional and clearly...”

Bernadette F - Allerton Road

“The staff at Puredental were so lovely and welcoming. I’m so happy with the outcome of my Invisalign & composite bonding by Dr Rohan. He...”

Ella L - Allerton Road

“I came to see Dr Rohan 18 months ago after years of wanting to improve my smile. He put me at ease straight away and...”

Andrew M - Allerton Road

“The wife received a 1st-class service from Mr Khan and cannot praise him enough. I cannot recommend him highly enough.”

Alan B - Rodney Street

“Dr Kahn and his team were great. He made me feel at ease and calmly talked through the process. Would recommend.”

Col S - Eastbank Street

“Dr Khan is an amazing dentist! I've always hated the dentist and been terrified of going, but Dr Khan puts me completely at ease. I'm...”

Victoria P - Eastbank Street

“I have not long finished my Invisalign journey, and I am so pleased with the results! Thank you, Dr Khan.”

Joanne P - Eastbank Street

“Very professional and honest.”

Keeley R - Eastbank Street

“Great clean.”

Angelina L - Eastbank Street

“Good customer care. It is clean and polished. Comprehensive advice on preventing future problems. Altogether, it was a good experience.”

Tom H - Eastbank Street

View our testimonials

Our locations

Find us

Our partners

google rating
Google Rating
4.9
Google Rating
google rating
google rating
Google Rating
3.0
Google Rating
google rating
google rating
Google Rating
3.7
Google Rating
google rating
google rating