Book Online

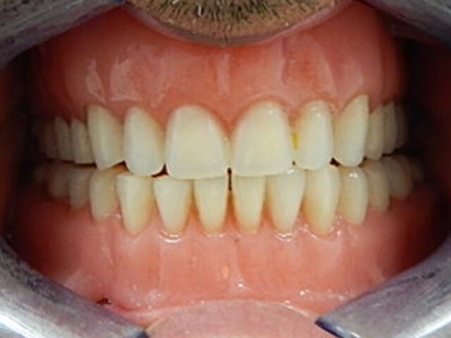
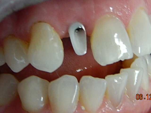
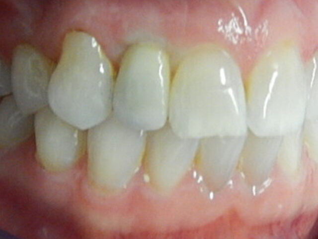
A dental implant is a titanium metal rod which is placed into the jawbone.

It is used to support one or more false teeth. In practice, both the false teeth and their supporting rod are known as ‘implants’.

Implants are a well-established, tried-and-tested treatment. Ninety per cent of modern implants last for at least 15 years.

You can have any number of teeth replaced with implants – from one single tooth to a complete set.

Preview Pure Dental
For more information regarding this treatment
Contact Us
Back to Treatment

Get in touch

Treatment - Pure Dental

General Dentistry

Treatment - Pure Dental

Cosmetic Dentistry

Treatment - Pure Dental

Teeth Straightening

Treatment - Pure Dental

Dental Implants

Treatment - Pure Dental

Facial Aesthetics

Treatment - Pure Dental

General Dentistry

Treatment - Pure Dental

Cosmetic Dentistry

Treatment - Pure Dental

Teeth Straightening

Treatment - Pure Dental

Dental Implants

Treatment - Pure Dental

Facial Aesthetics

Explore our treatments

What our patients say

star

“I’d become a little nervous visiting dentists in the last few years. Dr Khan, however, has totally restored that confidence since coming to Puredental. Highly...”

Gordon S - Allerton Road

“Dr Dee is very understanding of nervous patients. When I first visited him, I was very anxious; Dr Dee took the time to explain every...”

Clare B - Allerton Road

“I couldn’t be happier with my experience at Puredental. Dr Rohan was friendly and professional and did a fantastic job from start to finish with...”

Rachael - Allerton Road

“I am really happy with the results of my Invisalign braces. The whole process has been straightforward and very swift. I can highly recommend Puredental....”

Jenny F - Allerton Road

“I cannot recommend Dr Khan and the team at Puredental enough. I was terrified of dentists and had avoided them for years, and as a...”

Hayley - Allerton Road

“I would like to say a big thank you to Dr Khan and all the amazing staff as I was very nervous about visiting a...”

Jayne P - Allerton Road

“Dr Rohan is fab; I am so pleased with my new smile. I would definitely recommend his services and all the girls are lovely, too.”

Victoria B - Allerton Road

“Today, I have completed my transformation. Dr Khan has made such a difference using Invisalign clear braces alongside composite bonding. He is exceptional and clearly...”

Bernadette F - Allerton Road

“The staff at Puredental were so lovely and welcoming. I’m so happy with the outcome of my Invisalign & composite bonding by Dr Rohan. He...”

Ella L - Allerton Road

“I came to see Dr Rohan 18 months ago after years of wanting to improve my smile. He put me at ease straight away and...”

Andrew M - Allerton Road

“The wife received a 1st-class service from Mr Khan and cannot praise him enough. I cannot recommend him highly enough.”

Alan B - Rodney Street

“Dr Kahn and his team were great. He made me feel at ease and calmly talked through the process. Would recommend.”

Col S - Eastbank Street

“Dr Khan is an amazing dentist! I've always hated the dentist and been terrified of going, but Dr Khan puts me completely at ease. I'm...”

Victoria P - Eastbank Street

“I have not long finished my Invisalign journey, and I am so pleased with the results! Thank you, Dr Khan.”

Joanne P - Eastbank Street

“Very professional and honest.”

Keeley R - Eastbank Street

“Great clean.”

Angelina L - Eastbank Street

“Good customer care. It is clean and polished. Comprehensive advice on preventing future problems. Altogether, it was a good experience.”

Tom H - Eastbank Street

View our testimonials

Our locations

Find us

Our partners

google rating
Google Rating
4.9
Google Rating
google rating
google rating
Google Rating
3.0
Google Rating
google rating
google rating
Google Rating
3.7
Google Rating
google rating
google rating